دکتر بنت‌الهدی کردافشاری

متخصص ارتودنسی و ناهنجاری فک و صورت

​متخصص ارتودنسی گرگان

عضو هیئت علمی دانشگاه 

عضو انجمن ارتودنتیست های ایران

دارای بورد تخصصی ارتودنسی

چرا دکتر بنت‌الهدی کردافشاری؟

در عصر تخصص، تجربه و فناوری نوین، نگران زیبایی و سلامت دندان‌هایتان نخواهید بود.
دکتر بنت‌الهدی کردافشاری، متخصص مجرب ارتودنسی، با مجهزترین فناوری روز دنیا و تجربه‌اندوزی در شهرستان‌های گرگان، کردکوی، بندرگز و علی‌آباد، در خدمت شهروندان فهیم استان گلستان است. بهره‌گیری از جدیدترین متدهای علمی، تجهیزات مدرن و رویکردی مبتنی بر اخلاق حرفه‌ای، این امکان را فراهم کرده است که بیماران در فضایی مطمئن و آرام، بهترین خدمات ارتودنسی و دندانپزشکی را دریافت کنند.

مشاوره تخصصی در کلینیک دکتر بنت‌الهدی کردافشاری، با رعایت کامل تعرفه‌های قانونی و در نظر گرفتن شرایط بیماران، فرصتی ارزشمند برای تشخیص دقیق، پیشگیری مؤثر، درمان اصولی و حفظ سلامت دهان و دندان شماست. در این کلینیک، کیفیت خدمات تنها یک شعار نیست، بلکه تعهدی عملی است که با همراهی تیمی مجرب و دلسوز به آن جامه عمل پوشانده می‌شود.

ما باور داریم که سلامت دهان و دندان، پایه‌ای اساسی برای زیبایی، اعتمادبه‌نفس و کیفیت بالاتر زندگی است. لبخند زیبا تنها یک ظاهر خوشایند نیست، بلکه بازتابی از سلامت جسم و روان شماست. رسالت ما آن است که با ارائه درمان‌های کارآمد و علمی، در کنار بیماران بمانیم و آنها را تا رسیدن به نتیجه مطلوب همراهی کنیم.

منتظر قدوم سبزتان در خانه سلامت دهان و دندان هستیم؛ جایی که لبخند شما سرمایه‌ای ماندگار خواهد شد.

تخصص و مهارت بالا

دقت و کیفیت در درمان

تجهیزات مدرن و به‌روز

مشاوره شفاف به بیماران

​ــــــــــــــ درباره ما ــ​ــــــــــــ

​ــــــــــــــ خدمات کلینیک ــ​ــــــــــــ

ارتودنسی متحرک کودکان


​​​​​​​

ادامه مطلب

ارتودنسی متحرک کودکان به هدایت صحیح رشد فک، اصلاح نامرتبی‌های خفیف و پیشگیری از مشکلات پیچیده ارتودنسی در آینده کمک می‌کند.

ادامه مطلب

ارتودنسی ثابت
​​​​​​​

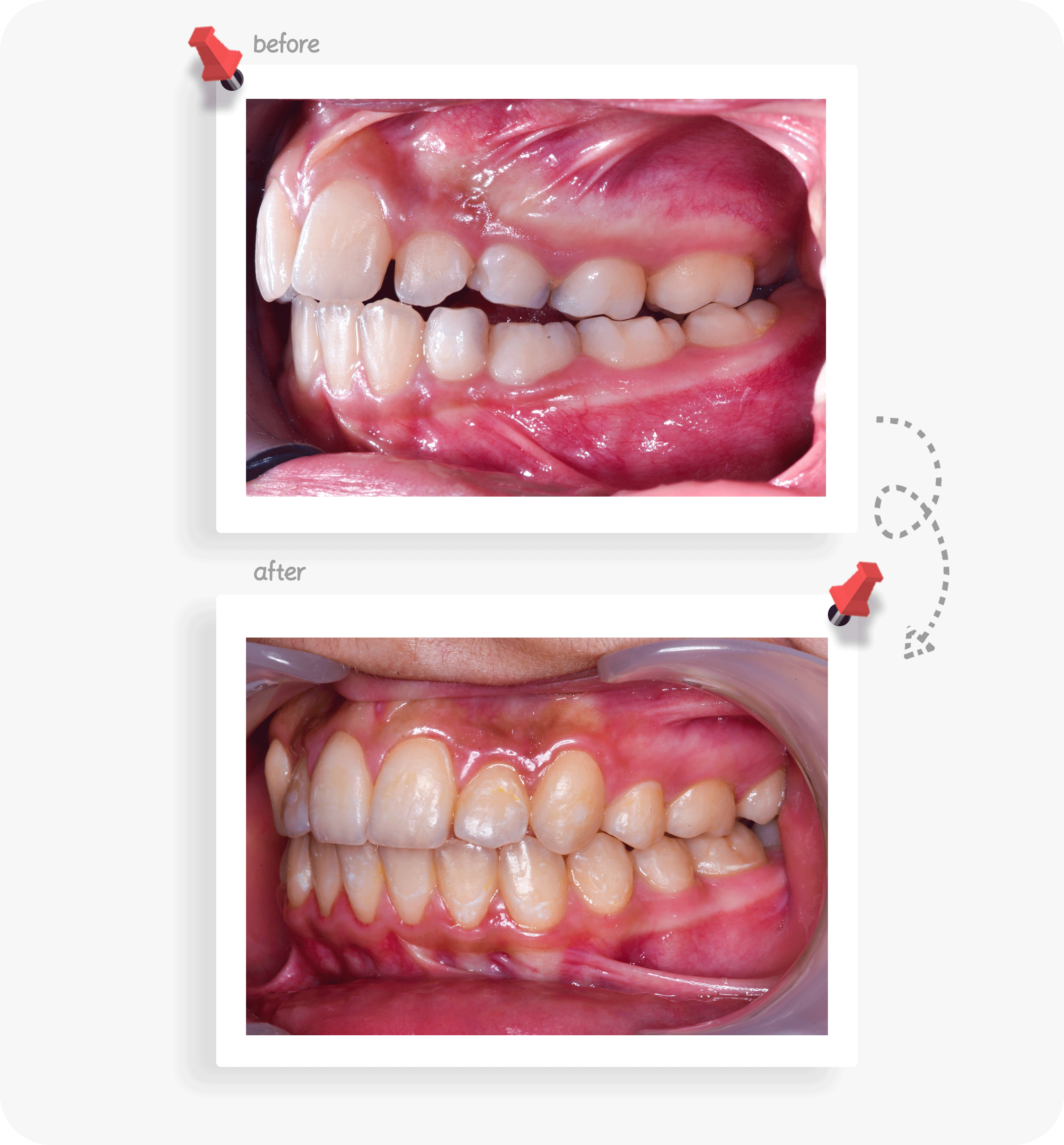
ارتودنسی ثابت با براکت‌های فلزی یا سرامیکی روی دندان‌ها نصب می‌شود و با اعمال نیروی مداوم، نامرتبی‌ها و مشکلات پیچیده فکی-دندانی را اصلاح می‌کند.

ادامه مطلب

ارتودنسی فانکشنال و ارتوپدفک
​​​​​​​

ارتودنسی فانکشنال و ارتوپدی فک با استفاده از دستگاه‌های متحرک، رشد فک‌ها را هدایت کرده و ناهنجاری‌های اسکلتی و عملکردی کودکان را اصلاح می‌نماید.

ادامه مطلب

ارتودنسی سرامیکی
​​​​​​​

ارتودنسی سرامیکی با براکت‌های همرنگ دندان، روشی زیبا و کمتر جلب‌توجه است که با حفظ کارایی، نامرتبی‌ها و مشکلات ارتودنسی را مؤثر درمان می‎کند.

ادامه مطلب

ارتودنسی شفاف
​​​​​​​

ارتودنسی شفاف با استفاده از الاینرهای نامرئی، بدون براکت و سیم، به تدریج دندان‌ها را حرکت داده و اصلاح نامرتبی‌ها را به‌صورت زیبا و راحت انجام می‌دهد.

ادامه مطلب

ناهنجاری فک و صورت

ارتودنسی ناهنجاری فک و صورت با روش‌های ارتوپدی و جراحی ترکیبی، به اصلاح رشد نامتعادل فک‌ها و بهبود عملکرد، زیبایی و هماهنگی صورت کمک می‌کند.

آدرس ما
گرگان. عدالت 8. پشت بانک ملت. کوچه امداد 2. ساختمان 555. طبقه سوم

شماره های تماس
۰۱۷-۳۲۳۴۳۳8۲ / ۰۹۳۷۱۷۵۱۵۱۶

شبکه‌های اجتماعی
instagram : @dr.h.kordafshari

ثبت

پیغام شما با موفقیت ارسال شد.

👈 این فرم تنها یک درخواست رزرو است، در صورت اضطرار بهتر است با مطب تماس گرفته و رزرو خود را قطعی کنید.

​ــــــــــــ مشاوره و رزرو نوبت ​ــــــــــــ

رمز عبورتان را فراموش کرده‌اید؟

ثبت کلمه عبور خود را فراموش کرده‌اید؟ لطفا شماره همراه یا آدرس ایمیل خودتان را وارد کنید. شما به زودی یک ایمیل یا اس ام اس برای ایجاد کلمه عبور جدید، دریافت خواهید کرد.

بازگشت به بخش ورود

کد دریافتی را وارد نمایید.

بازگشت به بخش ورود

تغییر کلمه عبور

تغییر کلمه عبور

حساب کاربری من

سفارشات

مشاهده سفارش